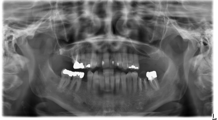
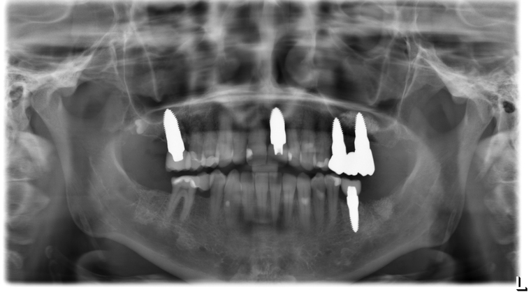
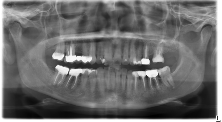
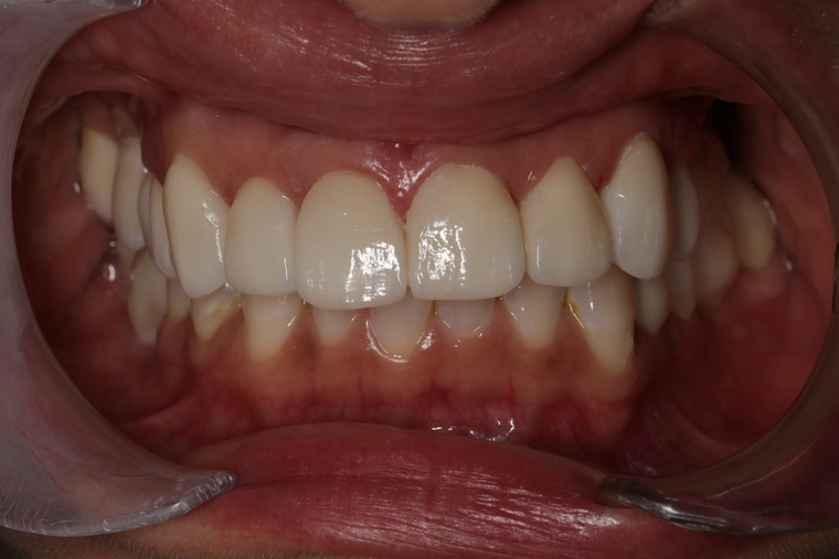
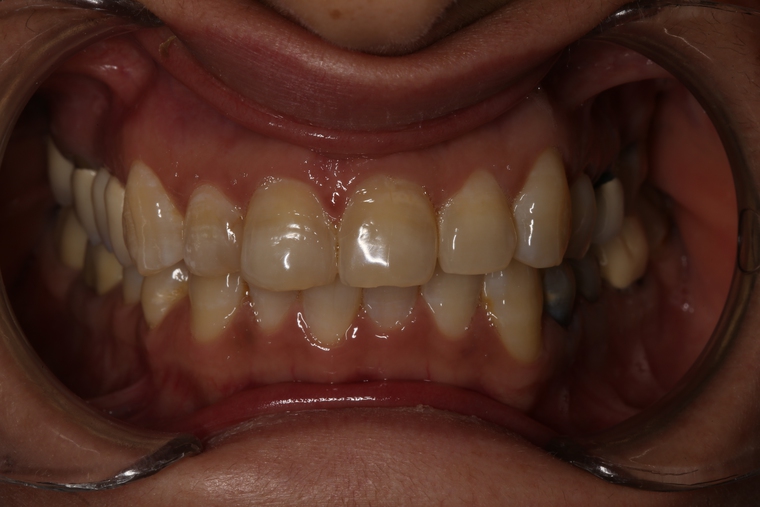
Ein Tätigkeitsschwerpunkt unserer Praxis in Salzburg ist die Implantologie. Wenn ein Zahn fehlt oder entfernt werden muss, sollte immer die Möglichkeit der Implantation im Vordergrund stehen. Ein Implantat verhält sich von den Eigenschaften genau so wie ein natürlicher Zahn. Egal ob nur ein einzelner Zahn vom Zahnarzt ersetzt werden muss oder ein ganzer Kiefer mit festsitzendem Zahnersatz versorgt werden soll, wir finden für Sie eine Möglichkeit, auch wenn die Voraussetzungen ausweglos erscheinen. Wenn möglich versorgen wir unsere Patienten mit Keramikimplantaten. Diese sind immun-neutral und können sehr oft direkt bei der Zahnextraktion eingesetzt werden. Für unsere Patienten ist daher meist nur ein operativer Eingriff notwendig!
10 Gründe für eine WIB-Implantatbehandlung
- Zertifizierter Tätigkeitsschwerpunkt Implantologie (DGI) seit 2006
- Spezialist für Biologische Zahnheilkunde und Keramikimplantate seit 2018
- Eingespieltes Praxisteam für eine sichere und schmerzfreie Operation
- Jährliche Fortbildungen, immer up-to-date
- Modernste Techniken, Hightech Geräte, optimales Hygienemanagement
- Über 20 Jahre Erfahrung auf diesem Gebiet
- 3D-Röntgentechnik, 3D-Implantatplanung und virtuelle Implantation
- Knochenaufbau mit Ersatz- und/oder Eigenknochen
- Eigenes Meisterlabor und persönlicher Zahntechniker für Ihre Arbeit
- Behandlungen in Narkose/Dämmerschlaf möglich
