Logo Zahnarzt Dr. Hinz Salzburg

Veneers

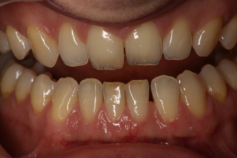
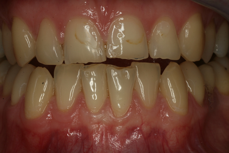
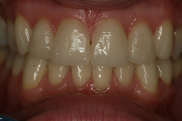
"Veneers" sind hauchdünne Keramikschalen, welche auf die eigenen Zahnsubstanz aufgeklebt werden. Vergleichbar mit Kontaktlinsen können diese auf sehr natürliche Weise den Zahnschmelz imitieren. Mit Veneers kann man aber auch die die Zahnform/stellung und die Zahnfarbe verändern.

Unser Meisterlabor fertigt individuell nach Ihren Wünschen diese minimal-invasiven Keramikwerkstücke an. Veneerversorgungen bilden die Königsdisziplin in der Zahntechnik, da auf wenigen Millimetern höchste Präzision und Ästhetik gefragt sind. Unser Techniker sind in diesem Verfahren speziell geschult und haben jahrelange Erfahrung mit Veneerversorgungen.

Anhand der Beispiele können Sie sich einen Eindruck der Möglichkeiten verschaffen.