Logo Zahnarzt Dr. Hinz Salzburg

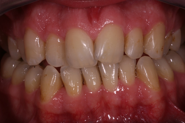
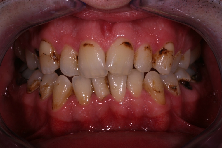
Ästhetische Füllungen

Mit modernen Kompositmaterialien ist es heutzutage möglich Zähne sehr natürlich und minimalinvasiv zu gestalten. Unser Schwerpunkt in unserer Zahnarztpraxis in Salzburg liegt auf ästhetischen Zahnrestaurationen. Kleine Defekte in Frontzähnen und der Austausch von alten, verfärbten Füllungen sind meist in einer Sitzung möglich. Durch die zahnähnlichen Eigenschaften dieser Materialien sind auch im sichtbaren Bereich ästhetische Ergebnis möglich.

Große Defekte in Zähnen oder gewünschten Form- oder Farbänderungen können mit Keramikmaterialien versorgt werden.