Logo Zahnarzt Dr. Hinz Salzburg

Keramikrestaurationen

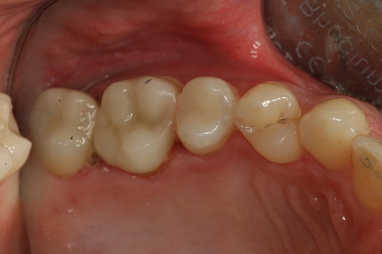
Große Defekte und ausgedehnte alte Füllungen können hochwertig und langzeitstabil mit Keramikrestaurationen neu versorgt werden. Dabei erhalten wir immer möglichst viel eigene Zahnsubstanz, so dass invasive Kronen meist vermieden werden können.

Zum Einsatz kommen verschiedene Keramikmaterialien,welche individuell ausgesucht werden. Beispiele sind Glaskeramiken, Disilikatkeramiken und Zirkonoxid. Nicht nur Einzelzähne können mit Keramik versorgt werden, auch fehlende Zähne. Hier kommen Brücken aus Keramik zum Einsatz. So ist es möglich auch ohne Implantate Zahnlücken zu versorgen. In den meisten Fällen können die Keramikrestaurationen im digitalen Verfahren hergestellt werden. Der Vorteil liegt in der hohen Präzision und Materialvielfalt.

Das Beispiel zeigt drei Amalgamfüllungen welche durch Inlays und Teilkronen ersetzt wurden.