Logo Zahnarzt Dr. Hinz Salzburg

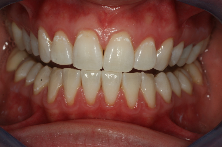
Zahnaufhellung

Untersuchungen haben gezeigt, dass sich 80% der Patienten hellere Zähne wünschen. Ein strahlendes Lächeln ist für das Selbstwertgefühl und im sozialen Kontakt ein wichtiger Faktor.Prinzipiell bestehen zwei verschiedene Methoden die Zähne professionell "weißer" zu machen. Nach einer Beratung und Besprechung der eigenen Zahnsituation können unsere Kunden zwischen einem "home-bleaching" und einer "chairside" Behandlung wählen.

Beim home-bleaching erhält der Patient individuelle Zahnschienen, welche mit einem Aufhellungsgel gefüllt werden und für einige Minuten auf den Zähnen belassen werden. Der Patient kann diese Behandlung nach Instruktion bequem zu Hause in Eingenregie durchführen.

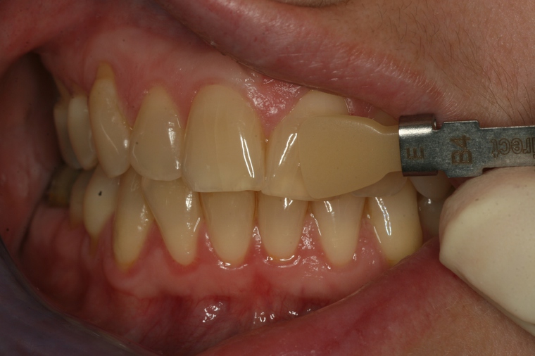
Die Zahnaufhellung in der Praxis wird ebenfalls mit einem Aufhellungsgel durchgeführt. Die speziell ausgebildete Zahnarzthelferin trägt das Gel auf die Zähne auf. Zusätzlich wird dieses Gel mit einer Kaltlichtlampe aktiviert, so dass nach 90min meist schon der gewünschte Effekt erzeilt werden kann.

Lassen Sie sich von uns beraten!