Logo Zahnarzt Dr. Hinz Salzburg

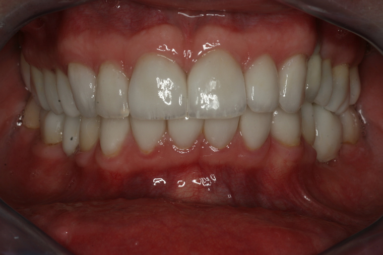
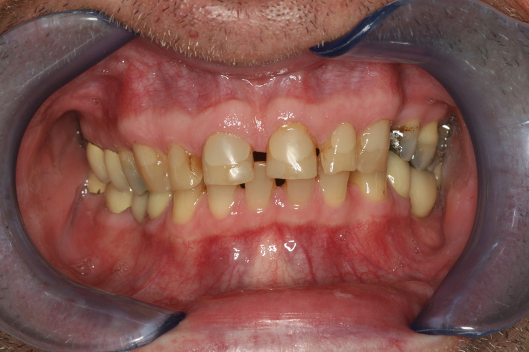
Generalsanierung

Viele Kunden die zu uns nach Salzburg kommen benötigen eine Generalsanierung der Zähne. Gründe dafür sind Zahnarztangst, Zeitmangel und schlechte Erfahrungen in der Kindheit. Unser Konzept ist genau auf diese umfangreichen Fälle abgestimmt:

White-Is-Beautiful Konzept

  • Beratung, Planung und Kostenaufstellung im ersten Termin
  • Keine Wartezeiten, flexibles Zeitmanagement, Termine bis 21.00
    und samstags möglich
  • Alle Behandlungsschritte aus einer Hand
  • Eigenes Meisterlabor
  • Sichere Amalgamentfernung
  • Metallfreie biologische Materialien
  • Schonende Behandlung in Vollnarkose

Bei einer Generalsanierung müssen alle zahnmedizinischen Bereich in Betracht gezogen werden, dies beginnt bei der Aufklärung und Prophylaxe, gefolgt von Zahnfleischbehandlungen und Kariestherapie, eventuellen Zahnentfernungen, Knochenaufbauten und wird durch ästhetischen Zahnersatz abgeschlossen. Unser Recall-System hält die erreichte Zahnsanierung über lange Jahre stabil.